
通体暗褐色、表面湿滑的虫子,被从气管里夹出来的时候,仍在不停地蠕动。
这是一条整整 8 厘米长的活体蚂蟥,在过去一段时间里,它牢牢吸附在一位 8 岁儿童的气管中,几乎堵塞了整个气道。
而不到半年前,同样在这名男孩鼻腔中,还曾取出过另外一条……
「不明原因肺炎」十余天,镜下惊现活蚂蟥
不久前,云南临沧市人民医院儿科,接诊到了一位「不明原因肺炎」的 8 岁患儿。
这是一个留守儿童。父母常年在外打工,日常由爷爷照看。十余天前,孩子开始出现反复咳嗽的症状,并前往当地县级医院就诊。
起初,医生们考虑患儿是「不明原因肺炎」,并住院进行了抗感染治疗数日,情况却一直未见好转,患儿还开始咳出淡红色的血痰。县医院建议转诊至上级医院进一步明确诊断。
接诊到这名患儿的,是云南临沧市人民医院儿科李亚莉主任。
面对一个 8 岁患儿、反复咳嗽十余天伴痰中带血、外院抗感染治疗效果不佳的临床表现,常规的鉴别诊断思路并不少。

丁香园整理
「在云南,我们也需要重点考虑肺结核」儿科副主任张学祖医生介绍,云南是结核病相对高发区,儿童结核并不罕见,咳嗽伴咯血是典型表现之一。
「其次,由于患儿是留守儿童,生活照护条件有限,鼻出血后血液倒流引发的继发性咳血也需要排除。此外,支气管扩张、气道异物等也在鉴别范围之内,但根据我们当地的诊疗经验,这些情况相对要少见。」
入院后,医生为患儿做了一系列常规检查。但血常规、炎症指标、凝血功能均没有明显异常。胸部 CT 也没有发现双肺存在炎症表现。
进一步问诊得知,半年前,孩子曾从鼻腔中取出过一条蚂蟥。
「在当时我们也并没有多想,毕竟蚂蟥寄生在气管里的情况实在是太罕见了。」张学祖医生说。
治疗效果持续不佳,常规检查又无法解释症状来源,再加上痰中带血反复出现,团队决定为患儿进行支气管镜检查。
《中国儿科可弯曲支气管镜术指南(2018 年版)》指出,对于反复或持续喘息、不明原因的慢性咳嗽、不明原因的咯血或痰中带血、怀疑气道异物等情况,支气管镜检查术是明确诊断的重要手段。
在完善各项检查和谈话后,麻醉科主任医师尹卫国为患儿进行全麻,张学祖医生操作着气管镜,缓缓经鼻腔进入,正要通过声门。
就在这时,一条巨大的活体异物赫然出现在屏幕上方。

图源:治疗团队提供
这条异物堵在声门下、环状软骨附近,紧紧吸附在气管黏膜上,随着患儿的呼吸一上一下蠕动,呼气时几乎堵塞整个气道。
一条活着的蚂蟥!
操作的张学祖医生和李冰娆护士立刻决定退出镜子暂停检查。
发现活体异物的瞬间,这场原本的诊断性检查就需要重新评估。蚂蟥肯定要取,但什么时候取?什么方法取?如果现在就取,原先的麻醉方案、器械准备和应急预案也需要重新来过。
儿科立即联合麻醉科、医务科进行紧急讨论。最终决定,避免二次麻醉,趁着患儿目前仍在全麻状态,直接把蚂蟥取出来。
虫体长达 8cm,该如何取出?
「麻醉下取出活体异物,我们最大的担心是过声门。」麻醉科主治医师董杰这样说。
儿童气道最狭窄的部位在环状软骨处,而这条蚂蟥恰恰就位于声门下方。异物在经过声门向外拖拽的过程中,极容易刺激声门反射性关闭,甚至出现喉痉挛。
为了尽量避免这种风险,麻醉科尹卫国主任决定采用七氟烷-瑞马唑伦-舒芬太尼静吸入复合麻醉方案。
其中,七氟烷本身具有一定的支气管扩张作用,有助于降低气道痉挛风险。增加利多卡因用量,在咽喉部、声门两侧喷洒进行充分的表面麻醉。
同时,也做好了充足的应急预案。一旦发生喉痉挛等呼吸道梗阻时,采取加深麻醉,解痉,气管插管或环甲膜穿刺,甚至气管切开。
不仅如此,由于蚂蟥是活物,两个吸盘吸附于黏膜表面,强行拉扯可能导致黏膜撕裂和黏膜下出血。
此前就有病例报道,一例 15 岁女性患者,蚂蟥位于右下叶前内基底段支气管,医生试图用活检钳取出时,虫体发生断裂,吸盘仍然附着在支气管黏膜上,最终不得不使用网篮才将残留部分取出。

图源:治疗团队提供
更极端的情况,虫体受到刺激后,可能向气管深部逃窜,进入更细的支气管分支,届时取出难度将大幅增加。
张学祖医生提到,也有文献介绍,有相似病例最后通过冷冻探针冻取,其优势在于可以将蚂蟥冻结后整体取出,避免因钳夹导致虫体断裂或吸盘残留。
「但我们确实没有这样的设备,当下时间也非常紧迫。既然孩子已经在麻醉下,先尽量取出才是最关键的。」张学祖医生说。
操作开始。医生先向蚂蟥局部喷洒利多卡因进行麻醉,再喷洒了 10% 浓氯化钠溶液——高渗盐水可以刺激蚂蟥的体表渗透压平衡,促使其松开吸盘。
随后,用异物钳钳夹蚂蟥,一点一点取出。在通过声门时,团队在声门外侧又追加了浓氯化钠喷洒,反复操作。
幸运的是,这条蚂蟥的吸盘吸附力并没有预想中那么强。异物钳最终成功将虫体完整取出,没有断裂,没有残留。
取出后,这条长达 8 厘米的虫子,仍然在不停蠕动。

图源:治疗团队提供
术后,患儿恢复顺利,咳嗽、咯血等症状消失,生命体征平稳,随后出院。
根据病史,患儿半年前从鼻腔取出一条,现在从气管取出一条。同时,患儿平时有饮用生水的习惯。到底是两次不同的饮水暴露后分别感染?还是半年前那次暴露中,蚂蟥在鼻咽部留下了虫卵或幼虫,之后逐渐迁移下行至气管?
「如果蚂蟥在气管内寄生了整整半年,患儿的炎症指标和肺部 CT 应该不会完全正常。可能是虫卵近期掉下去了,也可能是两次独立暴露,不能完全确定。」
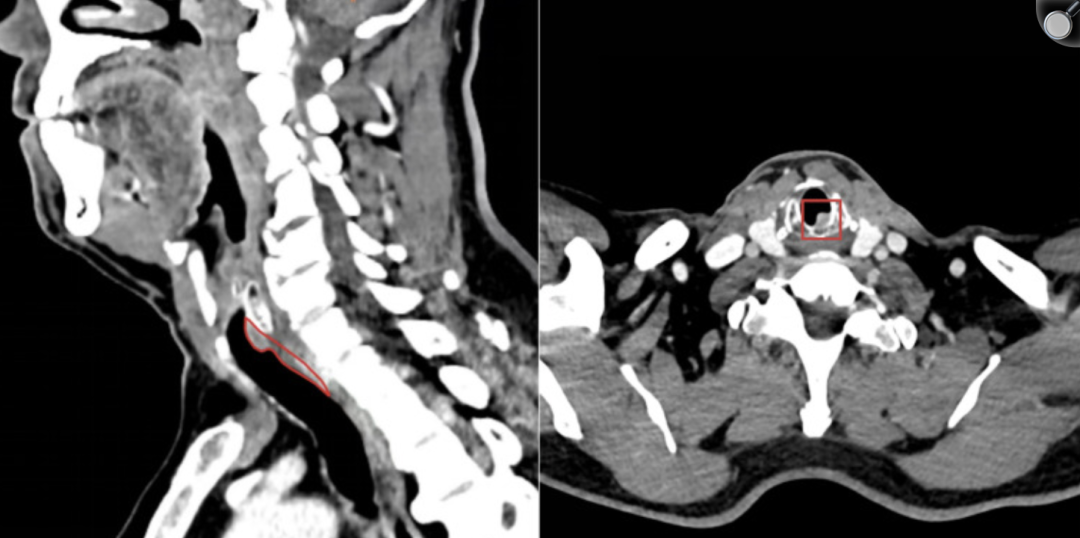
目前,在已有的气道蚂蟥寄生病例报告中,虫体长度通常在 4~5cm 之间。2024 年 10 月,云南省肿瘤医院同样报告了一例 8cm 的气管蚂蟥,蚂蟥位于声门下气管后壁,CT 上最初被误诊为气管内肿瘤。

云南省肿瘤医院病例报告图片(图源:参考资料 4)
致谢:本文经临沧市人民医院儿科副主任 张学祖、麻醉科主治医师 董杰 专业审核
策划:z_popeye|监制:islay
题图来源:临沧市人民医院儿科提供
参考资料:
[1]中华医学会儿科学分会呼吸学组儿科支气管镜协作组. 中国儿科可弯曲支气管镜术指南(2018年版). 中华实用儿科临床杂志, 2018, 33(13): 983-989.
[2]Moslehi MA, Imanieh MH, Adib A. Bronchial Leech Infestation in a 15-Year-Old Female. Case Reports in Pediatrics, 2016, 2016: 2372686.
[3]Li et al. Bronchoscopic removal of a leech from the trachea by cryotherapy. The Clinical Respiratory Journal, 2022.
[4]Airway leech infestation masquerading as a tumor: a rare case report. PMC, PMC12206761.
丁香园是面向医疗从业者的专业平台正规实盘配资网站,以「助力中国医生」为己任。在丁香园,可以和同行讨论病例 ,在线学习公开课,使用用药助手等临床决策工具,在丁香人才找可靠医疗岗位。
富华优配提示:文章来自网络,不代表本站观点。